Comprehensive Medicinal Plant Database

TLC

Crude drug latin name ANEMARRHENAE RHIZOMA
Sample NIB-0259
Origin
Original plant source of sample
TLC
Compare Identification photo file
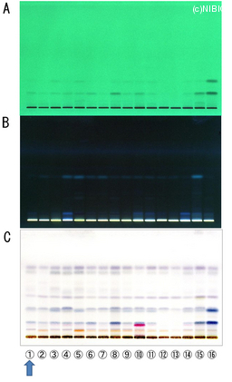
Condition (試料調製)各試料の粉末0.1 gにメタノール1.0 mLを加え、約5分間超音波処理を行った。遠心分離後、得られた上清を試料溶液とした。 (TLC条件)注入量:2または5 μL、展開溶媒:酢酸エチル/水/ギ酸(10:3:2)、n-ヘキサン/アセトン(7:3)、検出:UV照射(254 nm、366 nm)、バニリン・硫酸・エタノール試液噴霧後、加熱。
Memo A. 254nm B. 366nm C. 白色光 ① NIB-0259 ② NIB-0410 ③ NIB-0411 ④ NIB-0453  ⑤ NIB-0523 ⑥ NIB-0524 ⑦ NIB-0525 ⑧ NIB-0526  ⑨ NIB-0527 ⑩ NIB-0528 ⑪ NIB-0529 ⑫ NIB-0530  ⑬ NIB-0531 ⑭ NIB-0532 ⑮ NIB-0533 ⑯ NIB-0745