TLC
| Crude drug latin name | GASTRODIAE TUBER |
| Sample | NIB-0981 |
| Origin | |
| Original plant source of sample | |
| TLC | Compare Identification photo file |
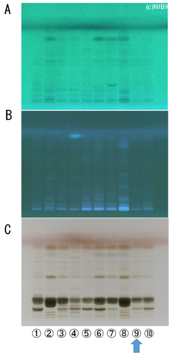
| Condition | (試料調製)各試料の粉末0.5 gにメタノール1.0 mLを加え、約5分間超音波処理を行った。遠心分離後、得られた上清を試料溶液とした。 (TLC条件)注入量:5 μL、展開溶媒:酢酸エチル/メタノール/水(8:2:1)、検出:UV照射(254 nm、366 nm)、希硫酸試液噴霧後、加熱。 |
| Memo | A. 254nm B. 366nm C. 希硫酸試液噴霧後、加熱 ① NIB-0962 ② NIB-0963 ③ NIB-0964 ④ NIB-0965 ⑤ NIB-0975 ⑥ NIB-0977 ⑦ NIB-0978 ⑧ NIB-0980 ⑨ NIB-0981 ⑩ NIB-1127 |